From your first cleaning to full smile restoration — every service at For Your Smile Dental is delivered with AI-supported diagnostics, transparent pricing, and a patient-first approach. CDCP coverage accepted for eligible services.













* CDCP covers orthodontics only for medically necessary cases. Standard cosmetic alignment is not covered. Contact us to assess your eligibility.







Every service we offer — with category, CDCP coverage status, and AI support at a glance.
| Service | Category | CDCP | AI-Supported | |
|---|---|---|---|---|
🔬Comprehensive Dental Exam | Preventive | Covered | AI | Book → |
💨Guided Biofilm Therapy (GBT) | Preventive | Covered | AI | Book → |
📈Periodontal Monitoring | Preventive | Covered | AI | Book → |
🦷Digital X-Rays | Preventive | Covered | AI | Learn → |
🪥Fluoride Treatment | Preventive | Covered | — | Book → |
🛡️Fissure Sealants | Preventive | Covered | — | Book → |
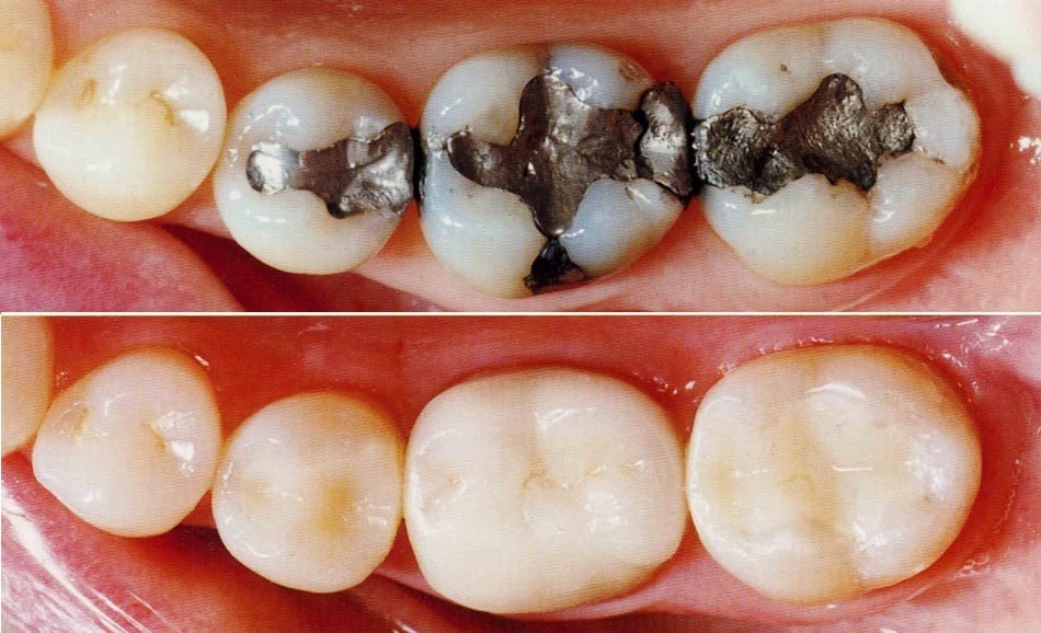
🧱Tooth-Coloured Fillings | Restorative | Covered | AI | Book → |
👑Dental Crowns | Restorative | Covered* | AI | Book → |
🌉Dental Bridges | Restorative | Not covered | AI | Book → |
🪛Root Canal Therapy (RCT) | Restorative | Covered | AI | Book → |
🦷Dental Implants | Restorative | Not covered | AI | Book → |
😁Full & Partial Dentures | Restorative | Covered* | — | Book → |
🔩Implant-Supported Dentures | Restorative | Not covered | — | Book → |
💠Inlays & Onlays | Restorative | Covered | AI | Book → |
✨In-Chair Teeth Whitening | Cosmetic | Not covered | — | Book → |
⚡ZOOM! Teeth Whitening | Cosmetic | Not covered | — | Book → |
🏠Take-Home Whitening Trays | Cosmetic | Not covered | — | Book → |
💎Porcelain Veneers | Cosmetic | Not covered | — | Book → |
🩹Dental Bonding | Cosmetic | Not covered | — | Book → |
🌸Gum Contouring | Cosmetic | Not covered | — | Book → |
🌟Smile Makeover | Cosmetic | Partial* | — | Book → |
😬Invisalign Clear Aligners | Orthodontic | Not covered | — | Book → |
🦯Traditional Orthodontics | Orthodontic | Medical only | — | Book → |
🦷Tooth Extractions | Oral Surgery | Covered | AI | Book → |
😤Wisdom Tooth Removal | Oral Surgery | Covered | AI | Book → |
🦠Abscess Drainage & Treatment | Oral Surgery | Covered | AI | Emergency → |
⚡Emergency Dental Care | Emergency | Covered | AI | Emergency → |
🚶Walk-In Dental Care | Emergency & Walk-In | Covered | AI | Call → |
💉IV Sedation | Sedation | Covered | — | Book → |
🌬️Nitrous Oxide (Laughing Gas) | Sedation | Covered | — | Book → |
💊Oral Conscious Sedation | Sedation | Covered | — | Book → |
👨👩👧Family Dental Care | Family & General | Covered | AI | Book → |
🧒Children's Dental Care | Family & General | Covered | AI | Book → |
💉Anti-Wrinkle Injections | Facial Aesthetics | Not covered | — | Book → |
🪡Microneedling | Facial Aesthetics | Not covered | — | Book → |
🦴TMJ / TMD Treatment | TMJ | Covered | AI | Book → |
* Requires CDCP preauthorization through Sun Life before treatment begins. We manage the preauthorization process on your behalf.